3 年
手机商铺
公司新闻/正文
220 人阅读发布时间:2025-11-03 15:41
背景:
脑卒中(Stroke),即“中风”,是由于脑部血管突然破裂或因血管阻塞导致血液不能流入大脑而引起脑组织损伤的一种急性脑血管疾病,具有高发病率、高致残率、高死亡率的特点,是严重危害人类健康的疾病之一。脑卒中一般分为两大类:缺血性脑卒中和出血性脑卒中,在所有的卒中病例中,大约87%属于缺血性卒中[1],因此缺血性脑卒中一直是科学研究领域备受关注的核心研究方向。
缺血性脑卒中致病机制:
缺血性脑卒中又称脑梗死,因脑部血液循环障碍,血栓阻塞脑血管引起短暂或长久脑血流供应障碍,脑组织缺血缺氧坏死,导致神经功能缺损,产生包括偏瘫、失语、认知和学习能力受损等一系列临床综合征。
脑卒中动物模型造模方法与比较:
脑缺血动物模型是研究脑血管疾病机制与防治的关键工具,常见的缺血性动物模型包括:开颅闭塞模型,血栓栓赛模型,光化学诱导模型,FeCl3诱导模型,线栓栓塞模型等,其中线栓法最为常用。常见造模方法利弊列表如下:
|
方法 |
优点 |
缺点 |
应用 |
|
线栓栓塞模型 |
•重现性好,模型稳定 •无需开颅,适合大规模实验 •成本低 |
•手术操作难度较大、特别是颈外线栓,过程无法可视化易造成蛛网膜下腔出血
|
•用于研究疾病机制 •治疗方法与药物研发 •验证诊断技术 •适用于研究溶栓药物和神经保护剂的效果 |
|
开颅闭塞模型 |
•易于控制血管位置和程度;适合研究特定脑区病理变化 •更接近人群病理 |
•创伤大,容易造成颅脑损伤 •无法进行再灌注研究
|
•研究不可逆性脑缺血的病理机制探究 •药物药效评价
|
|
血栓栓赛模型 |
•接近人类脑血栓病理情况
|
•凝块稳定性差、血栓易被冲散 •实验稳定性差 |
•用于溶栓干预和药物研究 |
|
光化学诱导模型 |
•无需开颅、创伤小,适合长期观察和行为学研究 •重现性好、操作简单 |
•由于光照原因,血栓只能在动脉末梢和毛细血管产生,无法完全模拟人急性缺血 •一致性差 |
•评估溶栓药物的疗效 •长期变化和神经修复机制
|
|
FeCl3诱导模型 |
•死亡率低、创伤较小 •价格低廉、适用性广 |
•FeCl3浓度和其他环境变量均易对该模型产生影响 |
•用于研究溶栓药物以及评估神经保护药物疗效 |
|
其他模型 |
电凝法,电刺激法,内皮素刺激法等
|
||
综上,在脑卒中动物模型制作中,线栓法是目前最常用的造模方法,其操作常涉及颈总栓塞与颈外栓塞这两种,尤其以颈外栓塞在MCAO模型中应用最为广泛,通过精准操作实现线栓的置入与定位,以构建符合研究需求的脑卒中模型。
脑卒中模型评价:
①神经功能评分
造模结束后,需要验证个体模型是否成功,神经功能评分是其中一个重要观察指标。认知评分有几种常见方法包括Longa、mNSS、Bederson和Garcia评分等。
Longa评分标准:0分:无症状;1分:瘫痪侧前爪不能完全伸展;2分:行走时向瘫痪侧转圈;3分:行走时向瘫痪侧倾倒;4分:不能自动行走,存在意识丧失现象。分数越高,代表神经功能缺损越严重,评分 1-3分 说明造模成功,提示存在明显的局灶性脑缺血。评分为 0分(无缺血表现)或 4分(严重损伤或死亡)提示造模失败。
mNSS评分法(改良神经功能评分): 包括提尾实验(3分),直线行走实验(3分),感觉实验(2分),平衡木实验(6分),反射丧失和不正常运动(4 分)。国际标准目前定义正常SD大鼠为0分,mNSS评分在1-6分之间为轻度损伤,7-12分之间为中度损伤,13-18分之间为重度损伤。
Garcia评分通过检测运动、感觉和平衡反射等多项指标,能更全面评估MCAO模型小鼠的神经功能损伤,Garcia评分与脑梗死体积相关性较好,是评价脑缺血治疗药物疗效的优选指标(如下图)。1-6分为轻度损伤,7-12分为中度损伤,13-18分为重度损伤。
表1:Garcia评分细则
②行为学功能评估:通过转棒(运动协调能力)、步态分析(肢体运动功能)、旷场(自主活动与焦虑状态)等检测小鼠的运动能力是否受损。
|
实验 |
指标 |
|
旷场实验 |
运动路程、速度、静止时间等 |
|
转棒实验 |
掉落时间 |
|
步态分析实验 |
步幅、步频、支持相、摆动相等 |
表2:脑卒中行为学实验
③TTC染色(金标准):TTC染色是TTC和活细胞线粒体内的琥珀酸脱氢酶反应,生成红色的甲臜,用来表示细胞的活力。实验多配制2%染液浓度,染色过程要在37℃条件下避光进行,TTC染色可直观评估MCAO梗塞程度(如图1所示),白色代表脑梗塞区域。

MCAO组和正常组
图1:TTC染色的脑切片[2]
④活体脑部血流监测:激光多普勒或激光散斑成像技术可监测脑部血管血流动态变化,通过卒中前后血管血流的变化可以判断脑部血管梗塞情况(如图2所示),进而可评估模型的成功性以及药物干预的效果。
正常鼠 MCAO鼠


图2:正常组和MCAO模型组小鼠脑部血流成像对比图(佳维斯实验数据)
技术路线(研究方案)
探究某干预药物通过某细胞/某分子在脑卒中的调控作用
一、模型构建与验证
1.模型选择:采用线栓栓塞大脑动脉(MCAO)模型,模拟缺血性脑卒中病理过程。
2.建模方法:通过线栓法对小鼠的颈总动脉(如图3a所示)或颈外动脉(如图3b所示)置入线栓构建脑卒中动物模型。
a.颈总动脉栓塞法 b.颈外动脉栓塞法
图3:线栓法示意图[3]
3.成模验证(核心指标):通过神经功能评分评估整体神经功能缺损程度以及行为学检测验证脑卒中模型稳定性,同时可结合TTC染色和激光散斑成像观察脑部梗死范围和血管血流情况。
二、实验分组与干预
模型构建成功后,按随机对照原则分组:
① 对照组(假手术组,仅分离血管不栓塞,给予溶解药物的试剂);
② MCAO 组(模型组,MCAO 术后给予溶剂);
③ MCAO + 干预组(模型 + 干预药物,设定药物浓度 / 剂量梯度);
三、检测指标
1. 初步检测:重复上述成模验证中的实验如TTC、行为学、激光散斑等,监测干预药物对神经功能恢复的影响。
2. 脑部形态结构检测:可借助高分辨率成像技术对脑部血管成像,例如透明化三维成像、磁共振成像等。
实例一:借助透明化三维成像技术,成功获取缺血性卒中小鼠全脑血管的三维空间结构信息,不仅可实现对血管的精确定量分析(包括血管直径、长度、体积、分支点及密度等参数的精确统计),还能对梗死区域进行精准定位(如图4、5所示),为缺血性卒中的机制研究与治疗策略探索提供有力技术支撑。
图4:缺血性小鼠全脑血管透明化三维成像[4]
图5:脑卒中全脑血管常见分析指标[5]
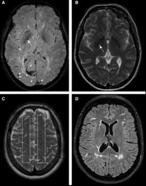
实例二:磁共振成像能够清晰呈现大脑内部结构,适用于观察和分析微出血、腔隙梗死等脑部病变的特征及分布情况(如图6所示),为脑卒中疾病的诊断提供影像依据。
图6:微出血和腔隙梗死等常见小血管疾病的磁共振成像[6]
3. 细胞水平检测:检测靶脑区病理变化可观察神经元和胶质细胞表型,以此反应细胞功能;
实例三:通过共聚焦成像(如图7所示)能够获取小鼠大脑中神经元胞体和神经突触的结构信息,还可对获取的神经元表型进行定性定量分析,为深入探究小鼠大脑的神经结构与功能等提供了直观且精准的依据。
图7::共聚焦成像对神经元突触进行鉴定和定量分析[7]
4. 突触功能检测:对靶脑区如海马区进行电生理功能评估,可评价卒中及干预后的认知功能变化,用于脑卒中脑部电生理常用检测指标如下::
|
检测指标 |
功能 |
|
AP(动作电位) |
检测神经元兴奋性 |
|
(mEPSC)/ (mIPSC) |
评估突触传递功能 |
|
LTP(长时程增强) |
评估突触连接强度出现的持续性增强效应 |
表3:脑卒中脑部电生理常用检测指标
5.分子机制探究:
靶分子验证:通过 Western blot、qPCR、IF等检测靶细胞/分子在靶脑区的表达变化,明确干预药物对其的调控作用;
组学筛选:对靶脑区进行组学分析,对比各组差异分子,挖掘新的调控靶点(结合前述分子关联分析);
通路检测:检测下游信号通路的关键分子表达,解析干预药物的分子调控网络。
6.靶分子特异性验证
通过病毒载体(如 AAV)在靶脑区对靶分子进行敲除或过表达,结合干预药物处理,明确 “干预药物→靶分子→脑卒中调控” 的因果关系。
四、临床关联分析
收集临床缺血性脑卒中患者样本,检测靶分子及相关通路指标,分析其与患者神经功能评分、预后的相关性;还可结合临床数据验证动物实验结论,实现 “基础机制→临床转化” 的并轨分析。

案例:客户文章(IF:10.8) | 颅骨内注射(ICO)是一种通过颅骨骨髓递送药物至中枢神经系统的方法,并在脑卒中进行临床前研究
ICO注射是一种中枢神经系统给药方法,利用颅骨和硬脑膜之间的天然微通道进行高效给药。该研究在临床前评估了ICO注射的可行性和安全性,并评估了其在脑卒中动物模型中的疗效。ICO注射后脑卒中小鼠脑内药物蓄积增加,且有助于修复神经损伤,减少神经元细胞凋亡,降低炎症因子的表达等,为ICO临床转化提供了基础。
1. 评估ICO注射的可行性和安全性。
通过静脉注射尹文思蓝染液1h内可观察到小鼠四肢和尾部出现蓝色,观察了注射部位的皮肤未出现发红、肿胀或渗出等症状,此外,还检测了颅骨骨髓和外周血中的中性粒细胞和炎症因子的水平并未发生显著变化。这些结果证明了ICO注射的可通过颅骨骨髓-硬脑膜-淋巴通路用于药物运输,且不会引起颅骨感染。
2. 通过透明成像描绘ICO注射到大脑的递送途径。
采用CY3标记的NA-1对小鼠进行ICO注射,同时还对小鼠脑淋巴管和血管进行标记,1h后取小鼠颅骨进行透明成像。结果显示NA1-Cy3位于脑实质和颅骨髓腔内的血管周围以及微通道,不与CD31标记的血管共染色,说明ICO注射药物并不依赖于血液通路,而是通过血管周围空间绕过血脑屏障。
图1:ICO注射的Cy3-NA1通过颅骨和硬脑膜之间的微通道进入脑实质
3. 在脑卒中模型pMCAO大鼠中评估ICO注射的疗效。
该研究中通过线栓法对大鼠进行造模,建立长久久性大脑中动脉闭塞(pMCAO)模型,pMCAO模型1 h后用NA-1和Y-3两种不同的PSD95抑制剂进行ICO注射治疗。给药24 h后,用TTC染色脑组织以标记脑梗死区域,与静脉注射组对比脑部梗死面积较小。随后对大鼠进行随访,Y3-ICO组表现出更高的神经功能评分,NA1-ICO组虽然在第一天表现出神经功能受损,但后续表现较好。此外还评估了不同组别的肝肾功能,发现ICO组和静脉注射组之间没有差异。这些数据表明,ICO注射药物作为中风的治疗手段是可行、安全和有效的。
图2:神经保护剂 NA-1/Y-3 在 pMCAO 模型中的疗效
总结:缺血性脑卒中高发常见,线栓法因其稳定易控、成本低成为造模优先选择。通过 Longa/mNSS 评分、TTC 染色、激光散斑血流监测多维度验证模型,搭配 “模型构建→分组干预→形态及功能检测、机制探究→临床关联” 完整技术路线,为卒中机制研究与药物研发提供硬核支撑,赋能科研!
参考文献
[1] PAUL S, CANDELARIO-JALIL E. Emerging neuroprotective strategies for the treatment of ischemic stroke: an overview of clinical and preclinical studies[J]. Exp Neurol, 2021, 335: 113518.
[2] Luo, Y., Chen, H., Tsoi, B., Wang, Q. & Shen, J. Danggui-Shaoyao-San (DSS) Ameliorates Cerebral Ischemia-Reperfusion Injury via Activating SIRT1 Signaling and Inhibiting NADPH Oxidases. Front. Pharmacol. 12, (2021).
[3] BARTHELS D,DAS H. Current advances in ischemic stroke research and therapies[Jj. Biochim Biophys Acta Mol Basis Dis.2020 .
[4] Lugo-Hernandez, E. et al. 3D visualization and quantification of microvessels in the whole ischemic mouse brain using solvent-based clearing and light sheet microscopy. J Cereb Blood Flow Metab 37, 3355–3367 (2017).
[5] Spangenberg, Philippa et al. “Rapid and fully automated blood vasculature analysis in 3D light-sheet image volumes of different organs.” Cell reports methods vol. 3,3 100436. 17 Mar. 2023.
[6] Albert de Roos, et al.Magnetic Resonance Imaging of Cardiovascular Function and the Brain: Is Dementia a Cardiovascular-Driven Disease?Circulation.(2017)
[7] Kuljis, D. A. et al. Fluorescence-Based Quantitative Synapse Analysis for Cell Type-Specific Connectomics. eNeuro 6, ENEURO.0193-19.2019 (2019).